- 中医基础理论2023-02-11
- 女子看中医被识破身份,画风秒变被提问的瑟2022-09-23
- 《中医面诊口诀》2022-09-16
- 中国神医9000针拯救了瘫痪多年的美国知2022-09-14
- 中医学大四学生在省中医的一次见习2022-09-09
- 零起点中医基础理论-徐雅教授-北京中医药2022-09-03
- 处处吻 / 徐晔-28岁医学博士,帅到病2022-08-26
- 中医学基础2022-08-25
刘执玉
刘执玉

刘执玉,山东大学齐鲁医学院资深教授、博士生导师。原籍山东省安丘市,青岛一中初、高中毕业、1969年毕业于原山东医学院六年制医学系,现为山东大学齐鲁医学院(也曾兼任华西医科大学) 教授,博士生导师,也是山东省专业技术拔尖人才。享受国务院政府特殊津贴专家;十大国家级特殊贡献人物,首届国医名师;中国老干部健康专业委员会副主任委员,健康保健医师;中国科学家协会副理事长;第九届“中国科学家论坛”常务理事,第十届“中国科学家论坛”副理事长;国医网顾问委员会主任委员;全国中医罐疗与自然疗法专业委员会主任委员;国际淋巴学会会员;第 21 届国际淋巴学会组委会副主席;《中国临床解剖学杂志》编委;《解剖科学进展》杂志编委;《Frontiers of Medicine in China 》中国前沿医学杂志 编 委 ; 《 US Chinese Journal of Lymphology and Oncology》美国中华淋巴肿瘤学杂志总编辑。老骥伏枥,志在千里,刘教授虽然已是80多岁的老人,但他依然身体强健,精神矍铄,一如既往地为他追求的事业忙碌着,并快乐着,他一生教书育人,桃李誉满天下;是山东大学齐鲁医学院第一批卫生部审批的博士,研究生导师,山东大学关键岗位教授,国家级重点学科、国家级教学团队学术带头人,他带头的学科在2012年北京大学图书馆对全国医学院校基础医学二级学科排名获得第一,他本人同时获得教育部《国家级精品课程》、《国家级示范课程》、《国家级资源共享课程》、《国家级国外留学生人体解剖学品牌课程“MBBS ”精品课程》及《国家级精品教材》(教育部评出的解剖学界唯一的一部)等多项荣誉,是教育部知名专家。他亲身教学培养的高层次学生3600人,培养研究生50余人 ,他亲自培养的学生、研究生有的已经成为国家重要领导人,有的已成为省部级领导人和中央机关的领导人,他的弟子据不完全统计分布在50多个国家和地区并担任大学校长、国际团体的领导人、教授等学术带头人,他们在国内外为国家及母校等做出了杰出的贡献。
在科学研究中,刘执玉教授以第一完成人和负责人身份,获得国家、教育部、卫生部、山东省政府颁发的奖项多达10余项,多次受到中央领导人,人大副委员长桑国卫院士、顾秀莲副委员长、卫生部长、副部长等多位中央领导的接见、表扬与赞誉。
经络系统的种系发生及结构的研究
刘执玉
山东大学齐鲁医学院 济南市文化西路44号
一、 从生物进化过程分析经络的形成
要理解、解决经络的形成问题,还要从现有的知识入手。我们知道,生物进化过程是十分漫长的过程,一般认为单细胞生物出现在35亿年以前,最初的单细胞生物是由一个细胞构成,但它仍然也有完成营养、呼吸、排泄、运动、生殖和调节生命活动的能力。 它在整个生物界中属于最低等最原始的生物。生物的进化可用如下图-1表示:

Fig.-1 生物进化模式图 Biological evolution pattern
我们从生物进化树的图-1的排列顺序看出,生命开始从无细胞结构的物质进化为有细胞结构的原核生物,从原核生物进化为真核单细胞生物,然后按照不同方向进化,出现了真菌界、植物界和动物界三个群体的生物。植物界从藻类到裸蕨植物再到蕨类植物、裸子植物,最后有了被子植物。动物界遵循着:单细胞生物—原生动物一腔肠动物一扁形动物一线形动物一环节动物一软体动物一节肢动物—鱼类—两栖类—鸟类— 哺乳类则从原始鞭毛虫到多细胞动物,从多细胞动物到脊索动物,进而演化出高等脊索动物──脊椎动物。脊椎动物中的鱼类又演化到两栖类,又分化出爬行类,从中分化出哺乳类和鸟类,哺乳类中的一支进一步发展为具有大脑的高等智慧动物,这就是人。这就是生物进化的大概情况。实际上发展到到腔肠动物,就已经为完整的多细胞动物。
微血管的结构及其功能的研究已有许多重要记载和详细论述[1-3],这些记载对我们研究经络系统具有重要意义,更重要的是其功能的部分记载与研究要比结构更为重要。因为微血管的功能与经络、淋巴系统的功能有直接的重要联系。经络与淋巴系统又是属于前后有姊妹关系的系统。
微血管系统的微细结构及功能方面的大量而详尽的论述[4-6],在此不再细说。应该说对心血管系统的研究资料为经络、淋巴系统的发生学和功能研究奠定了重要的基础[7-9]。刘执玉编著的《淋巴学》,对血管、淋巴管微循环床进行了很详细的描述。他提出的微循环床概念较之过去对微循环的认识深刻得多,全面的多。他描述的微循环床包括毛细血管、毛细淋巴管和组织通道的相互关系。这与他编著的《淋巴学》之前的微循环的概念是完全不同的,以前的所有著作对微循环的描述基本上只是包括微血管—微动脉与微静脉的交互联系及其功能方面的描述。将微循环床加进组织通道与毛细淋巴管道已是对物质交换场所描述的创新性的发展,也是对微循环床的创造性描述,对微循环床结构研究的重大发现,改变了过去对微循环单纯是毛细静脉、毛细动脉相互物质交换的概念,而加入了毛细淋巴管、组织通道(以下称为经络或经络通道)相互的联系和功能方面的作用[10-13]。也就是说微循环床是物质、能量、信息的交换场所,功能十分庞大。实实在在地讲,微循环床是生物体内各类白细胞以及各类细胞因子,营养物质、氧、大分子等的交换场所,是体内“防卫力量”与外来侵入物,如病毒、细菌等战斗的战场,是生物体内物质、能量、信息的代谢、转运、交换的重要基地,是淋巴管道的起始部位,也有经络系统的参与。特别是刘执玉教授者对两栖类动物淋巴系统的微细结构和功能的研究对于经络、淋巴系统的发生学研究有着重要的启示意义[14-17]。
二、经络通道的显微与超微结构研究
早在80年代,刘执玉教授就开始了对组织通道的研究,并在随后的《淋巴学》专著中提出了组织通道系统的发生学说概念。实际上经络系统是淋巴系统发生的前奏,简单地说,经络就是淋巴管前组织通道系统,早在刘执玉教授所著《淋巴学》有关组织通道的概念中就提出:“间质组织中存在着相互通联、形状极不规则的狭窄腔隙,称为组织通道”。继而说,“这些无内皮的通道遍及全身”[18],中国古人认为,经络隧道为不连续的管形结构,粗细因段而异,其横断面呈圆形、椭圆形、不规则管形等结构。经络隧道内流动着液晶态的物质,发出不同的色彩[19],这与中国著名的医学家刘执玉教授的现代研究相类似。刘执玉教授给予的经络的定义是“淋巴管前组织通道系统”,通道中有“组织液流动”,其腔隙大小不等,形状各异,分有壁与无壁两种。小的如细胞间隙、组织间隙、肌间隙、血管间隙、淋巴管间隙等,大的如腹腔、胸腔等腔隙,均属于经络通道系统。各组织、器官的经络间隙各不相同,并差别很大。从下面的皮下组织(图-2)和内脏器官(图-3)的显微镜图像可以看出,经络广泛存在于皮肤与器官的各类细胞、血管、淋巴管等结构之间。

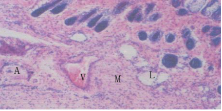
图-2 Wistar大鼠后肢膝关节处皮下组织显微镜图像(X40):显示皮下层的微动脉(A),微静脉(V),淋巴管(L),及经络通道(M)。经络通道分布于细胞之间,血管与血管之间,淋巴管与血管之间等,其间隙大小不一,形状各异,无定型分布,内含有蛋白质浆、细胞、纤维及组织液等物质。

图-3.Wisyar大鼠膀胱壁的显微镜图像(X40):M表示经络间隙(多为肌间隙,部分血管、淋巴管等间隙),A表示小动脉,V表示小静脉,L表示淋巴管。可以看出器官与皮肤的结构大不相同,其经络通道也不一样,膀胱壁的经络通道多位于肌肉间,也可称为肌间隙。当然,血管、淋巴管、神经组织间隙也属于经络通道系统的一部分。这些经络通道均属于无壁的经络结构。
经络系统(淋巴管前组织通道系统)是一个连续的相互通联的结构,他从细胞间隙到组织间隙、器官间隙贯穿全身。广泛分布于一切的组织与器官,包括具有内皮的淋巴管分布不到的骨皮质、眼角膜、脾等器官与组织。也就是说在全身无处不在。经络中的结构成分小的包括蛋白、细胞、细胞碎片、水分子、水合离子、离子、及细胞因子等,大的包括胶原纤维、弹性纤维等(图4-7)。其成分的大小从纳米级大小到肉眼可见的各种不同组织。经络中的许多成分可以从组织液(也叫经络液)中通过10nm-800nm大小的毛细淋巴管进入淋巴管道,参加淋巴循环,最终进入血液,当然也参加血液循环。这就是为什么经络在全身占有极其重要的地位,经络淤积或者不通与各种疾病密切相关。

图-4. 组织通道透射电镜图像(X 12000):白种小猪的后肢膝关节内侧近骨侧的组织电镜图像显示细胞间隙大小不等,形状各异,间隙内充有质浆,及不同类型的细胞。均为无壁的经络间隙(M)。

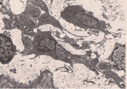
图-5.鼠的舌部水肿组织透射电镜图像:显示组织通道与毛细淋巴管(L)紧密相接,毛细淋巴管有数个开放、端对端、及交搭重叠链接(J),经络通道(M)相互通连,经络液充满于各经络组织通道中。可以看到毛细淋巴管的开放连接处有大分子物质正在通过开放链接,开放连接处大分子物质与质浆蛋白集聚。
图-6.经络通道扫描电镜图像(X 400)
回肠绒毛膜塑胶注射,扫描电镜观察经络通道图像,显示这些经络通道(M)组织大小不一,形态各异,高低不平。右侧高起的两个并列长条凸起为毛细血管。

图-7. 经络通道透射电镜图像(x12000), 白种小猪皮下组织的电镜图像显示:淋巴管两瓣膜细胞凸起(P)深入上一级节淋巴管内,图下方两个内皮细胞构成交达重叠与部分开放连接(J)。可见形状不规则的细胞、经络间隙(M)。
三、经络-淋巴系统的演化过程
有了组织通道的概念,然后我们要解决经络系统的发生问题,就相对容易多了。但要理解什么是经络?应该首先理解脉管系统与淋巴系统的发生。
动物体为什么要出现脉管系统呢?这要从脉管系统的功能来分析。在原始的单细胞生物,有两个转运系统。从代谢功能看,一是细胞内物质的转运代谢系统;二是细胞与外环境之间的物质代谢系统。单细胞生物时期,细胞生活在外界环境之中,要从外界摄取养料,然后从细胞内排出废物,围绕这一功能,细胞形成了两个转运系统:从外界摄取的营养,需要在细胞内消化吸收,这就需要一个内部物质运转系统,而在这个过程中的代谢废物,又必须有另一个转运系统排除到细胞体外,说明即使是一个单细胞生物也这起码要有两个简单的系统来完成。由单细胞生物进化为多细胞生物,第二转运系统逐渐发展和复杂化,单细胞生物逐渐演变为多细胞生物,体上有了纤毛,通过纤毛有了运动,并且可以控制运动有了一定的方向性,后来逐渐随之出现了具有一定功能的消化管道[20]。这一变化是一个很大的飞跃,为进化至体型更大的动物奠定了基础。随着动物体的进化,转运系统的功能日趋复杂与完善,就逐渐形成了脉管系统,如扁形动物就有了充满液体的简单体腔,通过体壁肌肉的收缩,液体随意地在体内流动。随着体型的逐渐增大、呼吸、消化、内分泌系统也随着分化出来,构成了功能不同的独立的系统,因而也随之形成了真正的脉管系统[21-14 ]。但应该说,从单细胞生物到多细胞生物,就有了体腔系统的形成过程,组织通道系统就已经形成,组织通道系统就是经络系统的萌芽,或者说经络系统的雏型已经形成。因此说经络系统的发生应该早在脉管系统之前,早在这个时期,生物体内的代谢及与体外的联系是由组织通道来完成的,也就是说是经络系统的初始阶段。
动物发展到节肢动物时期,血管系统已经形成,但这时的血管系统是两端开口的(图-8)保持了通过血管系统直接与组织间隙联系的代谢特征。在低等脊椎动物,大分子物质可直接经微静脉末端和管壁的内皮细胞间隙进入血液,其过程可能类似于进入毛细淋巴管的形式,这些血管起到了类似的毛细淋巴管的作用。这个时期的生物已是进入了动物的较高级时期,应是在硬骨鱼类之前,也是在淋巴系统形成之前的脊椎动物时期。这时的动物的组织通道系统已经进入成熟时期,组织通道系统已经完全成熟,应该是为动物进化过程中的第一个管道系统。这一概念古人没有任何发现叙述过,这时简单的组织通道系统(经络系统)已经形成。也就是《内径》上说的体内的“湾、溪、江、河、湖、海”已经就序。

图-8 节肢动物两端开口的循环系统模式图
但随着动物的进化,简单的两端开口的血管系统逐渐出现了标准的心脏,先是血管变为一端开口,最终末端也封闭。研究表明,通过输入和输出管道与体腔连接,营养物质、代谢产物在体内的转运加速,物质代谢的速度和效率增强,这时生物体内的第二套管道系统—心血管系统正式形成与运行[25-26]。但随着发展,又出现了一个新的问题,就是组织间隙中的大分子物质等如何从组织间隙重返回血管系统?起初对只具有开放性循环系统的动物,是靠开放的微血管、组织蛋白的水解等形式,大分子物质可以回流到血管系统。由于血管系统逐渐变化为封闭系统,血压增高,蛋白质渗出量大于回吸收,因而就必须产生一个回吸收大分子物质的系统,否则,组织就要发生水肿(图-5)。如血管静脉端渗出的蛋白质,代谢在组织中的大分子物质、衰老、破碎的细胞等,需要有一个系统来回收。在具有闭合脉管系统的高等脊椎动物,应功能的需要,逐渐完整地建立了第三套管道系统,这个时期应该在心血管系统成为封闭的系统后,为适应解决大分子物质的回吸收问题而建立,也就是经络系统与淋巴系统的结合,毛细淋巴管插入到经络通道中回吸收经络液、大分子物质进入淋巴系统,这就叫“经络淋巴系统”。通过这个系统来解决组织、器官间隙或腔隙中的物质转运、信息传递、氧气及营养物质的交换、大分子物质的回吸收等问题。
据研究证实淋巴系统应运而生,淋巴管道内的压力小于组织压,以便回吸收组织液和蛋白质等大分子物质,最后将它们送入静脉系统[17-20]。淋巴系统经历了一系列进化,达到了这种功能作用[21-23]。在较原始的脊椎动物,淋巴泵的作用通过数个机制发挥,一是机体的不规则运动挤压淋巴管;另一种方式是邻近肌肉收缩挤压淋巴小囊,最重要的可能是靠近泵(心脏)的部位的一般呈负压状态,即中心静脉压。一言以蔽之,机体内的压力梯度变化应该是物质回流的主动力[24-28]。
再经过进化,生物体出现了呼吸系统,将氧运送到组织,再从组织中运走二氧化碳。这比靠氧和二氧化碳的溶解性运输要优越得多。闭合的脉管系统对维持血压,缩短循环时间,保证肌肉较持久剧烈的收缩运动时获得足够的血液供应是非常重要的。血管内较高的压力使液体通过毛细血管渗入到组织,这就需要机体通过两种机制来完成上述功能,一是增加血浆蛋白浓度,提高胶体渗透压;二是通过血管的内皮细胞或周细胞(无脊椎动物)之间的紧密连接,减少其间缝隙来降低血管壁的通透性。然而,血浆蛋白浓度的提高会导致更多的蛋白质渗入组织之中,因此必须在血管内皮细胞之间形成更紧密的连接以降低血管壁的通透性,但这就意味着某些需要大量蛋白质的组织将得不到足量的供给,而某些制造蛋白质的组织又不能将产物运走,为解决这个问题,生物体的某些部分保留了窦状隙(如脾、骨髓等)。某些部位的毛细血管动脉端上形成许多窗孔,蛋白、液体可通过这些孔隙渗透到这些组织。但过多的液体、蛋白的渗出又需要回吸收。毛细血管的静脉端也有许多窗孔,以便回吸收组织间隙中过多的蛋白质,包括血管壁渗出的和组织本身制造的,以及注射的蛋白质。但困难的是由于组织的分子筛作用,毛细血管静脉端的蛋白无法被毛细静脉吸收,这无疑就将造成蛋白质滞溜[29-31]。积聚于组织中的大量蛋白质,只有通过组织蛋白水解和淋巴循环系统来完成蛋白质的转运功能,在这种情况下,随着动物的不断进化,淋巴系统的功能也逐渐完善。
从动物进化角度,硬骨鱼类有了初始淋巴管,两栖动物有了淋巴囊和淋巴心,淋巴囊靠机体运动和肌肉运动等推动淋巴液的流动。淋巴心的壁上有自发性收缩的肌肉,可自律性跳动,将淋巴液经输出管泵入静脉。淋巴心是淋巴系统的重要组成部分之一,在硬骨鱼类、两栖类、爬行类和某些鸟类中多有淋巴,到了哺乳动物,淋巴心就消失了。淋巴心不像真正的心脏,因为其腔壁是由横纹肌构成,而不是心肌。但它具有自律性的搏动,将淋巴液泵入静脉。淋巴心的数目一般不多,两栖动物如蟾蜍、青蛙仅有一对淋巴心,有尾两栖类可有14~20对[32-34]。爬行类只有体后方有淋巴心,开口于坐骨静脉。在更高级的动物,如爬行类动物,淋巴心消失了,这并不是退化,而是一种进化,因为整个淋巴管壁都有了收缩功能,并且管内有了瓣膜,这样每一段淋巴管都成了一个“小淋巴心”,这样就变成了千千万万个淋巴心,更有利于淋巴液的流动。
综上所述,经络-淋巴的确是前后发生的姊妹系统,也可以称为经络淋巴系统。毛细淋巴管就伸入到经络通道中,实际上经络系统就是淋巴管前组织通道系统。但经络系统的种系发生远远早于淋巴系统。由于人们认识淋巴系统较晚,仅有数百年的历史。中国人认识经络系统已有近3千年的历史,并有一整套理论体系,然而,这套理论体系,是使用“阴阳五行”,“气、血、津液”等词语叙述,多仅在中医界传播,并缺乏形态学依据,致使无法与现代医学接轨,即使中医著名的经典著作<黄帝内经>,近3千年来,经历代延用、研究,经络研究出现近千种学说,竟然至今没有一种学说给予经络一个确切而又被公认的定义、功能的描述,这就使得经络学说至今也没有进入现代医学的行列的误区所在。笔者经过多年研究,提出经络系统为淋巴管前组织通道系统,经络系统中有组织液在流动,负责机体的营养、信息、能量等物质的转运、传递,具有免疫、清洁、修复功能。这就是用现代医学术语给予了经络一确切的定义与功能的描叙,为中西医结合、中医药走向世界开辟了广泛的途径。
参考文献
[1] BACCETH,B, E。BIGLLARDI :Studies on the fine structure of the dorsal vessels of arthropods. I.The “heart” of orthopteran. Z. Zellforsch. 99:13(1969a)
[2] BACCETH,B, E。BIGLLARDI:Studies on the fine structure of the dorsal vessels of arthropods. II.The “heart” of orthopteran. Z. Zellforsch. 99:25(1969b)
[3] BARBER,V.C.,P.GRAZIADEI:The fine structure of cephalopod blood vessels.II. The vessels of the nervous system. Z.Zellforsch.77:147(1967)a.
[4] BARBER,V.C.,P.GRAZIADEI:The fine structure of cephalopod blood vessels.II. The vessels of the nervous system. Z.Zellforsch.III.Vessel innervation.Z.Zellforsch.77:162-174(1967)b.
[5]BENNET,H.S.,J.H.LUFT,J.C.HAMPTON:Morphological classification of vertebrate blood capillaries.Amer. J.Physiol.196:381-390(1959)
[6] CASLEY-SMITH,J.R.:The fine structure of the vascular system of amphioxus:implications in the development of lymphatics and fenestrated blood vessels.Lymphology 4:79-94(1971)
[7] CASLEY-SMITH,J.R.,R.JUDITH,J.R. CASLEY-SMITH:The fine structures and functions of blood capillaries,the interstitial tissue and the lymphatics.In:Ergebnisse der Angiologie,12,“Basic Lymphology”1-30,ed.M.F LÖDI.Schattauert,1976e.
[8])CASLEY-SMITH,J.R.,P.E.MART:The relative antiquity of feneatrated blood capillaries and lymphatics,and their significance for the uptaka of large molecules,Experientia(Basel)26:508-509(1970).
[9]ASCHHEIM,E.:Passage of substances across the walls of blood vessels.In:Microcirculation,vol.1,213-250,ed.G.KALEY and B.M.ALTURA.University Park press,Balt,U.S.A,1997.
[10]刘执玉,淋巴学:淋巴系统的种系发生. 中国医药科学技术出版社,1995, 北京.
[11]刘执玉.等:中国好医生(p40-90),中国古籍出版社,2014.7.北京.
[12] 刘执玉:激发淋巴系统效能与效率研究的重要性. 解剖学杂志 第29卷增刊 vpl. 29 Suppl. 46
[13] 姜世英,刘嵘,刘执玉:当代负压医疗机理探讨。科学研究月刊,美国教育科技出版社,香港新闻出版社,总第53期:2009,第7期:101-110
[14]M. Foldi,J.R.Casley-Smith:Lymphangiology. F.K. SCHATTAUER Verlag GmbH, STUTTGART-NEW YORK, 1983
[15] Liu Zhiyu, J.R. Casley-Smith: The fine structure of the Amphibia lymph heart. Lymphology, 1989;22(1): 25~30.
[16] Liu Zhiyu, J.R. Casley-Smith: The fine structure of the Amphibia lymph sac. Lymphology, 1989; 22(1):31~35.
[17] Y. Chen, Z.Y. liu, R.X.Li, Z. Guo.: Structural studies of initial lymphatics adjacent to gastric and colonic malignant neoplasms, lymphology 1999, 32:70~74.
[18] 刘执玉.淋巴的基础与临床[M].科学出版社,2003,北京.
[19] 张建新.经络是干细胞系.中国中医基础医学杂志 2001,7:(4):17-
[20]刘执玉.淋巴学,第一版:p.3-7; 中国医药科技出版社,1996
[21]INTAGLIETTA,M.,E.P.DEPLOMB:Fluid exchange in tunnel and tube capillaries.Microvasc.Res.6:153-168(1973)
[22] HELLINEK,H.,M.FÖLDI,B.BOKY,S.MESZAROS:Some data concerning the problem of interconnections between intra-adventitial spaces of the pulmonary arteries and the lymph channels.Actamorph.Acad.Sci.hung.11:41-46(1961)
[23]KALIMA,T.:The structure and function of intestinal lymphatics and the infuence of impaired lymph flow on the ileum of rats.Scand.J.Gastroent..16,Suppl.10:9-87(1971)
[24]FÖLDI,M.,Ö.t.ZOLTÁN:Permeability of the thoracic duct,Lancet 1:914(1965)
[25]FÖLDI,M.,S.CSILLIK,T.VARKONYI,Ö.T.ZOLTÁN:Lymphostatic cerebral haemangiopathy.U1trastructural alteration of the brain blood capillaries after blockage of cervical lymph drainage.Vasc.Surg.2:214-222(1968b) [26]HALJAMÄE,H.:Anatomy of the interstial tissue. Lymphology 11:128-132(1978).
[27] Zhiyu liu: The Medical Theory of Meridian- Blood-Lymph Activity Facility. 49th World Congress of Intergrated Medicine 24-26th November 2011, Colombo, Sri Land.81-84.
[28] 刘执玉等:神奇的口腔负压灸.中国中医药现代远程教育,2012 ISSN 1672-2779,56-
[29] HALJAMÄE,H.,H.LINDE,B.AMUNDSON:Comparative analyses of capsular fluid and interstitial fluid.Amer.J.Phvsiol.227:1199-1205(1974)
[30]MAGARI,S:The effect of cervical lymph blockage in the central and peripheral nervous system.In:Ergebnisse der Angiologie,vol.12,146-158,ed.by M.FÖLDI,Schattauer,Stuttgart 1976.
[31]MÁLER,P.:Lymphaticovenous anastomoses.In:Handbuch der Allgemeinen Pathologie,ed.by H.MEESSEN.vol.3,partv 6,197-218 Springer,Berlin,N.Y.1972
[32] 刘执玉, 等:猪的皮下毛细淋巴管超微结构研究.解剖学杂志,1988;11(4):263.
[33] 刘执玉,等:两栖类动物淋巴囊的电镜观察.山东医科大学学报.1990;28(4): 33-34.
[34] 刘执玉、毕于顺,等:猪肠系膜淋巴结超微结构研究.山东医科大学学报, 1991. 29(2): 103-105.
课题支持:国家自然科学基金课题:课题号:30872523
国家科技部十二五支撑计划课题:课题号:2012BA115B05
刘执玉,教授,博士研究生导师。
















返回顶部